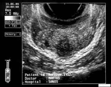
![]() Рис. 1а |
![]() Рис. 1б |
|---|---|
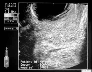
| ТРУЗИ простаты больного М., 1952 г.р. до лечения. Поперечное (а) и продольное (б) сканирование. Снижение эхогенности ткани в области верхушки железы и в виде радиальных полос от вентральной поверхности к центру железы - результат пальцевого массажа. Определяется периуретральный и паравезикальный отек. | |
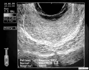
![]() Рис. 1в |
![]() Рис. 1г |
| То же после 15-дневного курса дренирующей терапии. Полное восстановление нормальной эхогенности и структуры ткани простаты. | |
![]() Рис. 2а |
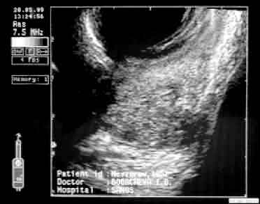
![]() Рис. 2б |
| ТРУЗИ простаты больного Н., 1956 г.р. до лечения, продольное сканирование (а). В правой доле простаты на фоне неравномерного понижения эхогенности ткани больше по вентральной поверхности определяются микрополости неправильной формы (микроабсцессы). | То же после 15-дневного курса дренирующей терапии (б). Микрополости исчезли, эхогенность и структура ткани полностью восстановились. |





